Umugore waremanywe umwihariko wo kugira nyababyeyi ebyiri yabyaye abana b’impanga buri wese yarakuriye mu ye
Umugore waremanywe umwihariko wo kugira nyababyeyi ebyiri yabyaye abana b’impanga buri wese yarakuriye mu ye
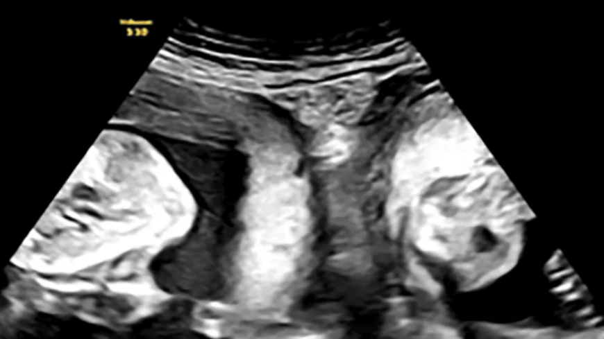
Umugore wo mu Bushinwa, waremanywe umwihariko wo kugira nyababyeyi ebyiri, yabyaye abana b’impanga, buri mwana akaba yarakuriye muri nyababyeyi ye yihariye.
Uwo mubyeyi ufite uko yaremwe byihariye cyangwa se ufite umwahiriko udakunze kubaho kuko ngo kugira nyababyeyi ebyiri bishobora kuba ku mugore umwe mu bagore 2000, yabyaye izo mpanga mu kwezi gushize kwa Nzeri 2024, mu Bitaro byo mu Majyaruguru y’u Bushinwa, nk’uko byatangajwe n’inzego z’ubuzima ndetse n’ibitangazamakuru bya Leta byo mu Bushinwa.
Uwo mubyeyi witwa Li, yabyaye impanga z’umuhungu n’umukobwa, abyara abazwe mu Bitaro byitwa Xi’an biherereye mu Ntara ya Shaanxi, nk’uko byemejwe n’abayobozi b’inzego z’ubuzima aho mu Bushinwa, batangaje ko icyo gikorwa "ari igitangaza kimwe muri miliyoni".
Bubinyujije ku rubuga nkoranyambaga rwa Weibo rukoreshwa cyane aho mu Bushinwa, ubuyobozi bw’ibyo bitaro Li yabyariyemo, bwagize buti, "Ni ibintu bidasanzwe cyane kuba abana b’impanga barabayeho, buri mwana akaremerwa muri nyababyeyi ye, noneho igitangaje kurushaho ni uko bakomeje gukurira muri izo nyababyeyi zitandukanye kugeza bavutse”.
Ikinyamakuru BBC, cyatangaje ko ibyo Bitaro byabyaje Li, byemeza ko kuvukana nyababyeyi ebyiri ubwabyo ari ibintu bidakunze kubaho ndetse bifatwa nk’ibitangaza kuko ni ibintu bishobora kugirwa n’umugore 1 mu bagore 2000.
Uko kuba umugore wavukanye nyababyeyi ebyiri yarabyaye abana b’impanga kandi buri wese yarabaye muri nyababyeyi ye yihariye, ibitaro byamubyaje bikabitangaza ku rubuga nkoranyambaga rwa Weibo, byatumye bamwe mu bakoresha urwo rubuga, batanga ibitekerezo bitandukanye kuri iyo nkuru. Cyane ko ubwo butumwa ngo barebwe n’abantu basaga miliyoni ku rubuga rwa Weibo, bamwe bohereza ubutumwa bwo gutangara.
Umwe muri abo bakoresha urubuga rwa Weibo yagize ati, “icyo ni igitangaza pe.”
Undi yanditse agira ati, ”Ariko se ko afite amahirwe atagira uko angana!”
Undi yanditse agira ati, "Ibi nta gushidikanya ko byari bikomeye kandi byari guteza ingorane ku buzima bwe”.
Kubera ko byarangiye neza, ibyo bitaro byanatangaje ko inda Li yabanje gusama mbere y’iyo, yavuyemo, ariko muri Mutarama 2024, akimenya ko yongeye gusama, ibyo bitaro byamukurikiraniye hafi, bigenda neza abyara umuhungu ufite ibiro 3 n’umukobwa ufite ibiro 2.






